Pequenas correções que fazem uma grande diferença na sua qualidade de vida.
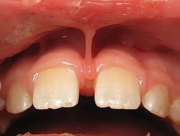
A frenectomia é um procedimento simples e seguro indicado para corrigir alterações no frênulo — aquela pequena membrana que liga a língua ou o lábio à boca.
Quando o frênulo é muito curto ou mal posicionado, ele pode causar:
A frenectomia tem como objetivo restabelecer a função adequada, promovendo mais conforto, mobilidade e bem-estar.
Após uma avaliação detalhada, o tratamento é indicado de forma personalizada, respeitando a necessidade de cada paciente — crianças, adolescentes ou adultos.
Muitos pacientes já confiaram em nosso trabalho e tiveram uma experiência positiva. Veja o que eles dizem nas avaliações.








O Prof. Dr. Roger Lanes Silveira atua de forma integrada como médico e cirurgião-dentista, com forte atuação nas áreas de Cirurgia Bucomaxilofacial, Cirurgia Crânio-Maxilo-Facial, Otorrinolaringologia e Cirurgia de Cabeça e Pescoço.
Atua como médico preceptor na Santa Casa de Belo Horizonte e integra a diretoria da Associação Brasileira de Cirurgia Crânio-Maxilo-Facial (biênio 2025/2026). Mantém atendimento em consultório particular e realiza cirurgias em hospitais de referência, com abordagem humanizada e multidisciplinar.
É professor adjunto da Graduação e da Pós-Graduação em Odontologia da PUC-MG, além de preceptor e co-coordenador adjunto da Residência em Cirurgia e Traumatologia Bucomaxilofacial do Hospital João XXIII (FHEMIG).
Somos especialistas no tratamento e cirurgia do rosto, maxilares, boca e estruturas da cabeça e pescoço.com atuação tanto em consultório quanto em ambiente hospitalar.
Todos os direitos reservado @Roger Lanes